

马上就要过年了,杭州余杭的张女士却高兴不起来。
今年53岁的张女士,前年春天查出宫颈癌并接受了手术;去年11月复查,医生告诉她,癌症又复发了,还是恶性程度很高的低分化癌。她接受了医生的建议,马上开始放、化疗。可谁知道,才做了两次放疗,医生突然告诉她,病理诊断可能出错了,治疗叫停。
没复发?当然庆幸,但庆幸之余,张女士又生气又失望:担惊受怕一个月,全家的生活都乱套了。她希望医院调查后,给一个说法。近两个月以来,张女士和家人一直在和医院交涉,但对院方给出的解释,他们不理解也不满意。最近,张女士找到了钱江晚报记者。
张女士正做着化疗,护士突然说治疗停下来
上周日,钱报记者见到了张女士。
她穿着黑色的长款羽绒衣,背双肩包,很显年轻的打扮;一见到钱报记者就笑眯眯地打招呼,气色和精神面貌都很好,一点看不出是癌症患者。
一坐下来,她就从包里掏出病理报告、出院记录等资料,讲起了自己的就诊经历。
2015年4月,她在位于杭州的一家专科大医院做了宫颈癌手术,子宫、双侧附件都被切掉了。术后诊断,宫颈癌IB1期,医生告诉她不用做放、化疗,定期复查即可。
之后,她每3个月就去医院复查一次,都没有异常,直到2016年11月。
这次阴道镜检查发现HPV亚临床感染,医生建议她做个病理切片。11月8日,病理检查结果出来了,诊断为:低分化癌伴坏死及部分区退变。
六神无主的张女士,在儿子儿媳的陪同下又去了这家医院。他们找了一位姓杨的专家,杨医生建议她尽快手术;她又找了第一次给她做手术的陈医生,陈医生则建议她尽快接受放、化疗。
两位专家,两类不同治疗方案,听谁的?家里人商量了一下,决定再去上海。
3天后,儿子陪着张女士去了复旦大学附属肿瘤医院,找妇科专家程玺。看了他们带来的病理报告(上面附有切片图像),程医生的建议是尽快放、化疗。
3位医生,2位支持放、化疗,那就回杭州做放、化疗吧。
11月21日,张女士在出具这一病理报告的医院办了入院手续。21日、22日,接受了两次放疗后,医生通知她23日早上接受化疗,但这次化疗结束后,还需要继续第三次放疗。
23日那天,张女士接受化疗刚挂上了第三袋药水,护士突然走进来。张女士记得很清楚,当时护士嘀咕了一句“不是不挂了么?”语气有些意外。
“我听了有些急了,难道我身体那么差?化疗都做不了?”张女士听了心里有些不安。
过了一会儿,医生进来了,告诉张女士,病理报告可能有误,需要停止正在进行的化疗。
钱报记者翻看了张女士带来的出院记录,上面写着,接到病理科通知,患者病理切片需要重新阅片,故停止同步放、化疗。
追问了那么多次,为什么没人说再查一遍?
当天,医生带着张女士又做了一次病理检查,第二天出具的病理报告上,医生修正了报告:目前肿瘤诊断证据不充分,不予继续治疗,密切随访。
张女士没办出院手续,直接回家了,心里窝着一肚子火,“第一次说癌,我还不急,这一次真的崩溃了。”她回忆,那几天,家里吃饭静悄悄的,大儿子陪她聊天,说起自己的工作、未来的打算,她心里更难受,“苦了那么多年,拼了那么多年,儿子出山了,我没福享了。”她跟大儿子说,妈妈有个万一,你要照顾好弟弟。
担惊受怕一个月,张女士百思不得其解,相当于癌症判决书的病理报告,怎么能出错?
她回忆起一个细节,杨医生看到第一张病理报告时,马上给病理科打了电话,找报告上签字的余医生,但余医生人不在。
“会不会当时杨医生就有怀疑,我之前是早期鳞癌,这次复发怎么变得那么恶性?”张女士觉得,如果医生有疑义,当时就应该搞清楚,她就不必白白吃放疗的射线了。
“我们曾多次询问医生,怎么复发得那么严重?但没有医务人员在给我们治疗前再复查。”大儿子戚先生也告诉钱报记者,前面血液查出来,几个指标阳性,心里还有一道防线,病理报告一出来,感觉最后的希望没了。医生都说病理检查结果是金标准,对癌症的判断是一钟定音的。
医院解释:医生过度诊断
律师、专家怀疑:标本弄错了
那么对张女士癌症的误判,医院应该承担什么责任?是否应该给予张女士赔偿?张女士为此咨询了律师。她找到浙江坚定律师事务所的律师王越华。
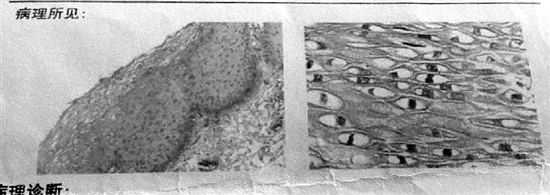
王越华毕业于法医专业,曾经从事司法鉴定工作。看了前后两张病理诊断报告,他觉得,从第一张病理图像看,确诊癌症复发没问题,很典型。但仅隔10来天,又诊断张女士没有复发是怎么回事?难道第一个病理诊断的样本不是张女士的?
王越华告诉钱报记者,在他接手的案子中,就曾经有3例样本弄错造成了误诊。
12月初,张女士去了趟医院,医院专门负责医疗纠纷的两位医生接待了她。对张女士的疑惑,医院是这么解释的:
为什么病理报告会出错?
“病理科的医生也有下面医院来的,规培的、进修的,也有刚刚新来的,科里讨论分析过,很可能呢,经验也不丰富,显微镜下看错了……肯定是病理科的差错。第一关,年轻医生看了以后,报告就出来了,审核的医生,不是很仔细。主要分析就是这个原因。”
做了两次放疗,对身体有没有影响?
“整个疗程完成,对任何人都有后遗症,照(放疗)了两次,绝对没有问题的,回过头来想,应该庆幸,没有造成很大伤害,实际上我们医生也是蛮负责的。”
近一个小时的谈话,双方还都心平气和。但是,张女士和戚先生对医院的答复并不满意。
本周一,钱报记者以家属的身份,陪同戚先生又去了一次医院,接待的还是那两位医生。但这一次,他们的说法变了:下诊断的不是进修医生,就是单子上签字的余医生,有十多年工作经验,“但经验也还是有限,考虑到你妈妈也有这个病,比较谨慎,是过度诊断。”
张女士的病理报告,到底是医生读取标本时看错了,还是另有原因?钱报记者咨询了杭州三家医院的病理医生和妇科肿瘤专家。
杭州某三甲医院的妇科肿瘤医生告诉记者,宫颈癌术后复发,肿瘤恶性程度比原先增高,从理论上来讲是有这个可能性的。
前后两个病理切片图像为何差异大?在迪安诊断工作的赵敏向记者解释,病理诊断的准确性,受很多因素影响,比如诊断医生的水平、取样的质量、切片是否切全等。“也有可能,即放、化疗后,细胞形态发生了变化,所以再次检查时看不到了。但可能性较小。”
在咨询杭州两家三甲医院的病理科医生时,对于第一张病理图像,两位医生的意见都一样:很典型,就是癌。但对比看了两张病理报告上的图像后,一位专家的想法与赵敏类似,另一位专家第一反应是,“不像一回事,这个会不会是别人的?”
他解释,第二张报告图像,看到的是类似鱼鳞的组织,跟张女士2015年的诊断相符;而第一张报告图像,更像腺癌。原来得了鳞癌,现在又得了腺癌,有这个可能性,但很小。倒是人为出错的可能性更大些。
他告诉记者,标本到病理科,首先要有人接收、核对;然后切片,可能由低年资医生来做,切完后,放盒子里,固定、脱水、浸蜡,然后切片;切完后,再把蜡去掉,接下来染色。
除了染色是用机器,其他环节都是人工完成,中间就可能出错,比如贴标签,虽然有核查制度,面对很多切片,可能出错;看片的时候,也可能张冠李戴。
“病理诊断,有一定的误诊率,但这是学术上的;如果是管理上的漏洞造成的,就是另一回事了。”他说,这些都是基于病理报告产生的怀疑,想弄清楚,需要把切片借出来,找第三方机构鉴定。
记者把几位医生的建议转告了戚先生。他和母亲商量,决定把切片借出来,不光是为了把事情弄清楚,也为求个安心。