中国煤炭新闻网

邯矿总医院成功为高龄患者微创手术治疗股骨粗隆间骨折
2019-11-08  出处:煤客网  煤客新闻网  煤矿网  来源:网络   人气:0   

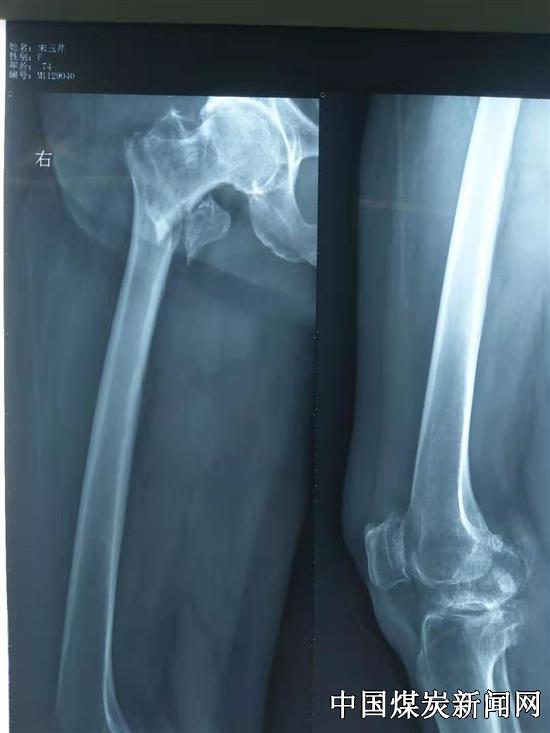
    【本网讯】近日,患者刘奶奶的家属怀着感激的心情给华北医疗邯矿总医院骨外科送来了一面锦旗,感谢骨外科医生张志刚为74岁高龄的刘奶奶成功实施了左股骨粗隆间骨折闭合复位PFNA内固定手术治疗。

  
    据了解,刘奶奶家住邯矿总医院附近,因不慎摔伤,致左股骨粗隆间骨折,就诊于邯矿总医院。入院后,骨外科医疗团队在陈志东主任的带领下,积极完善相关检查,严谨设计手术方案。入院第二天即行左股骨粗隆间骨折闭合复位PFNA内固定手术治疗。刘奶奶术后恢复良好,术后3天下地行走,未出现肺炎、褥疮、深静脉血栓等并发症,顺利出院,刘奶奶和家人逢人就夸邯矿总医院骨外科技术好、服务好,还有专业的医疗团队,对骨外科的医护人员是暂不绝口。
 
 
    统计学资料显示,老人受伤后24-48小时手术的,90%的人可恢复到伤前状态。通过临床观察,如果保守治疗,老人受伤骨折后两三个月内死亡约有50%,一年内死亡率可高达70%。而接受手术治疗的话,1年内的死亡率仅为10%左右,远远低于保守治疗。
 
    邯矿总医院骨外科每年为几十名高龄骨折的患者及时行手术治疗,其中不乏80岁以上的高龄患者。股骨粗隆间骨折常见于老年人,特别是老年女性,由于骨质疏松等原因出现骨脆性增加、骨强度降低更容易患股骨粗隆间骨折,保守治疗,高龄患者需长期卧床,容易出现肺炎、褥疮、深静脉血栓形成等并发症,严重影响生活质量及寿命。
    邯矿总医院外科医疗团队在陈志东主任带领下积极开展相关研究,对股骨粗隆间骨折采取闭合复位PFNA内固定术,手术时间一般在30分钟左右,创伤小,降低了手术风险。为广大老年患者带来福音。 

  • 最新文章
  • 热门文章